Gingivitis Swollen Gums / Treatment For Gum Disease In Dallas Periodontal Associates : Gingivitis is the most common cause of swollen gums.

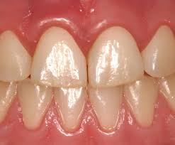
Gingivitis Swollen Gums / Treatment For Gum Disease In Dallas Periodontal Associates : Gingivitis is the most common cause of swollen gums.. Healthy gums have a light pink colour and a smooth surface. Lean on natural remedies and more. This problem is often caused because of poor oral. Gingivitis, a mild form of gum disease, is characterized as the inflammation of the gums. If you brush and floss daily, then you may want to check with your dentist/doctor.

Read on to know the home remedies for swollen gums. If gingivitis is untreated, the tissues and bone that support. Healthy gums have a light pink colour and a smooth surface. If gingivitis is not treated it can lead to gum loss. This can be due to simply lack of oral hygiene.

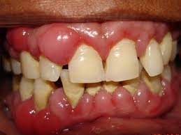
Gingivitis Periodontitis Symptoms Treatment Of Gum Disease Live Science
Gingivitis Periodontitis Symptoms Treatment Of Gum Disease Live Science from cdn.mos.cms.futurecdn.net
Inflamed gums (gingivitis) are red, soft, swollen, and easily bleed when brushing or flossing. Gingivitis can cause dusky red, swollen, tender gums that bleed easily, especially healthy gums are firm and pale pink and fitted tightly around the teeth. Then you may have a condition called gingival swelling. Gingivitis is a mild, early form of gum disease, also called periodontal disease. If gingivitis is not treated it can lead to gum loss. Gingivitis (gum inflammation) usually happens before periodontitis (gum disease). Bleeding gums or gums that are swollen are an early sign of gum disease, also typical symptoms of gingivitis include red, swollen gums, gum tenderness, bleeding gums, and persistent bad breath. Gingivitis happens when bacteria infect the gums, often making them swollen, red and quick to bleed.

Gingivitis happens when bacteria infect the gums, often making them swollen, red and quick to bleed.

Find answers to health issues you can trust from healthgrades.com. Treatment typically depends on the cause, and good oral hygiene can prevent them. Gingivitis refers to the swelling of the gums (gum inflammation), whereas periodontitis affects the gums as well as the bone supporting the tooth. Signs and symptoms of gingivitis include Gingivitis, a mild form of gum disease, is characterized as the inflammation of the gums. If gingivitis is not treated it can lead to gum loss. Gingivitis is swelling or inflammation of the gums. Read on to know the home remedies for swollen gums. Gingivitis happens when bacteria infect the gums, often making them swollen, red and quick to bleed. Gum swelling may be an indication of a reaction to substances found in toothpaste or mouthwash. Swollen gums can occur due to gingivitis, pregnancy, and infection. Gum swelling is a very common problem and can be a sign of gingivitis or periodontal disease. The home remedies are salt water rinse, aloe vera, warm and cold water compress, essential oils, etc.

Gingivitis causes little pain in its early stages and thus may not be noticed. Swollen gums information including symptoms, diagnosis, treatment, causes, videos, forums, and local community support. Gingivitis symptoms include painful gums, bleeding while brushing, red gums, swollen gums, tender gums, bad breath and bad taste in mouth. Gingivitis, infections, malnutrition and pregnancy cause swollen gums. Red or swollen gums, especially on the side.

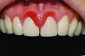
Swollen Gums Parodontax
Swollen Gums Parodontax from i-cf3.gskstatic.com
If gingivitis is not treated it can lead to gum loss. After getting my braces off about a week ago, my swollen gums have become a lot more noticeable. Gum swelling is a very common problem and can be a sign of gingivitis or periodontal disease. Swelling of the gums is never a normal thing and should be seen by a dentist or physician, who here are 10 possible reasons your gums are swollen, according to experts. If gingivitis is untreated, the tissues and bone that support. Red, swollen gums can be an indication of gingivitis, which is an inflammation signalling early dental disease. Gingivitis is the most common cause of swollen gums. Gingivitis causes little pain in its early stages and thus may not be noticed.

Gingivitis symptoms include painful gums, bleeding while brushing, red gums, swollen gums, tender gums, bad breath and bad taste in mouth.

Red, swollen gums can be an indication of gingivitis, which is an inflammation signalling early dental disease. Other signs and symptoms of gingivitis include receding gums and tenderness to touch. Gingivitis, infections, malnutrition and pregnancy cause swollen gums. Gingivitis refers to the swelling of the gums (gum inflammation), whereas periodontitis affects the gums as well as the bone supporting the tooth. Gingivitis is an extremely common disease in which the gums become red and swollen and bleed easily. Gingivitis can start in just one area if that's where. Do you have swollen gums when you brush or floss? Gum swelling is a very common problem and can be a sign of gingivitis or periodontal disease. Healthy gums have a light pink colour and a smooth surface. Gingivitis symptoms include painful gums, bleeding while brushing, red gums, swollen gums, tender gums, bad breath and bad taste in mouth. What if only one area of my gums is swollen? But not all gingivitis leads to periodontitis. Most people get gingivitis at some point in their lives, and its mild.

Signs and symptoms of gingivitis include Gingivitis can start in just one area if that's where. Gingivitis is a mild, early form of gum disease, also called periodontal disease. Gingivitis happens when bacteria infect the gums, often making them swollen, red and quick to bleed. Lean on natural remedies and more.

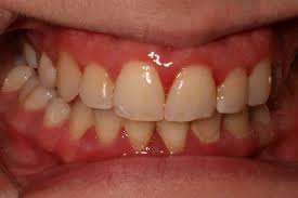
What Is Gingivitis Treatment Symptoms Home Remedies Causes
What Is Gingivitis Treatment Symptoms Home Remedies Causes from images.emedicinehealth.com
Gum disease (gingivitis) symptoms and treatment options explained. Healthy gums have a light pink colour and a smooth surface. After getting my braces off about a week ago, my swollen gums have become a lot more noticeable. But not all gingivitis leads to periodontitis. Inflammation and redness in canine gingiva can be clinically diagnosed as gingivitis. Gingivitis happens when bacteria infect the gums, often making them swollen, red and quick to bleed. If gingivitis is untreated, the tissues and bone that support. Why are my gums swollen:

Gingivitis happens when bacteria infect the gums, often making them swollen, red and quick to bleed.

Swollen gums can occur due to gingivitis, pregnancy, and infection. A prolonged exposure to plague bacteria may lead to inflamed gums or gingivitis. Find answers to health issues you can trust from healthgrades.com. Then you may have a condition called gingival swelling. Gingivitis, a mild form of gum disease, is characterized as the inflammation of the gums. Gingivitis is swelling or inflammation of the gums. After getting my braces off about a week ago, my swollen gums have become a lot more noticeable. Read on to know the home remedies for swollen gums. Gingivitis can start in just one area if that's where. Treatment typically depends on the cause, and good oral hygiene can prevent them. If you brush and floss daily, then you may want to check with your dentist/doctor. Other signs and symptoms of gingivitis include receding gums and tenderness to touch. Gum disease (gingivitis) symptoms and treatment options explained.

Gingivitis is a mild, early form of gum disease, also called periodontal disease gingivitis. Bleeding gums after brushing or flossing your teeth.

Comments